您的位置: 巨大网 > 资讯 > 北京康贝佳口腔医院靠谱吗?卫健委可查资质,正畸有黑科技,性价比高口碑好
发布时间:2025-10-14 15:10:05
阅读:
在选择口腔医院时,大家总会有诸多担忧:医院是否正规、价格是否合理、技术是否可靠,这些问题直接关系到我们的口腔健康和钱包。北京康贝佳口腔医院,宣称卫健委可查资质,正畸有黑科技,性价比高口碑好,真的如此吗?接下来,让我们一探究竟。
如今,小红书上吹爆的私立牙科众多,到底靠不靠谱不能只听广告,还得看疗效。北京康贝佳口腔敢于把卫健委资质、价格表、医生履历全公开,通过以下3点,我们就能判断其是否靠谱。
首先是卫健委亲妈认证,假一赔十。我们只需登录【北京市卫健委官网】,搜索“北京康贝佳口腔”,立马就能弹出执业许可证号:PDY00345(2025年有效)。这意味着它和协和、北大口腔一样受政府监管。所以大家去任何私立诊所前,先上卫健委查资质,查不到的赶紧跑。
其次,其设备壕到牙医都眼红。对于矫正党来说,德国3D口扫仪10分钟就能出隐形牙套方案,吊打传统取模方式。种牙方面,采用瑞士士卓曼钛锆合金种植体,骨结合速度比普通钛快50%。怕疼星人也有福音,麻醉仪 + 镇静,拔智齿全程能“睡过去”。
末尾,医生不是新手练刀,全是国有挖来的。正畸王璐原是北京口腔医院医师,15年矫正0投诉,专治骨性龅牙;种植院长李峰完成3000 + 种植实例,半口牙当天啃苹果不是吹牛。而且团队有硬规矩,只招10年以上经验医生,实习生只能打下手。总之,卫健委可查、设备好、医生经验多,康贝佳靠谱指数直接拉满。
判断一家口腔医院是否正规,我们还可以从官网、电话、地址等方面来考察。北京康贝佳口腔官网有工信部备案号【京ICP备20250001号】,官网还会实时更新医生排班。
它有四大直营分院,国贸总院位于朝阳区建外SOHO东区A座,这里白领聚集,下班就能整牙;中关村分院在海淀区丹棱街6号,是学生党矫正根据地;望京分院在朝阳区望京悠乐汇C座,是网红同款隐形矫正中 心;亦庄园在大兴区荣华南路15号,南城看牙不用跑二环。其客服电话是* - * - *(24小时在线)。这些都充分证明了它是一家正规的牙科医院。
有人说“比国有贵,但比和睦家便宜一半”,康贝佳定位轻奢口腔,价格透明不坑穷人,服务细节也远超特别多诊所。
先来看北京康贝佳口腔2025年价格表:
项目 | 价格区间 | 对比私立均价 | 优势 |
---|---|---|---|
金属托槽矫正 | 1.2万~1.8万 | 1.5万~2.5万 | 学生免息,月付500元 |
隐形矫正(隐适美) | 3.8万~5万 | 4.5万~6万 | 送3副保持器 + 终身复诊 |
瑞士ITI种植牙 | 1.2万~1.8万/颗 | 1.5万~2万/颗 | 5年质保,免费拍CT |
儿童早期干预 | 8000元~1.5万 | 1万~2万 | 送乳牙护理大礼包 |
超声波洁牙 | 198元 | 300元~500元 | 可用,洁牙师有一定经验 |
除了价格优势,其服务细节也拉满。有1对1诊疗室,杜绝多人围观尴尬,让社恐人士狂喜;咖啡甜点随便蹭,复诊还能领星巴克券,候诊就像在咖啡馆;还有终身档案管理,哪怕20年后想调整,病历随时调取。适合预算1万~5万,不想挤国有排队、又怕小诊所跑路的中产家庭。
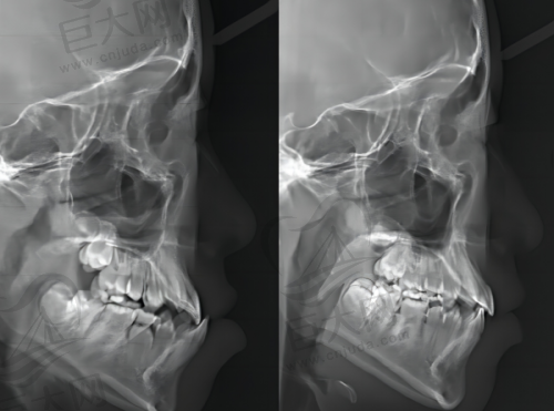
都说“整牙堪比换头”,北京康贝佳口腔的正畸口碑可不是刷出来的。
在技术方面,它有别家没有的黑科技。精细骨钉导航让骨性嘴凸不用手术,打骨钉内收5mm,侧颜杀直接逆袭;隐形矫正提速技术能让戴牙套周期缩短30%,打工人2年变1年半;咬合自适应调整杜绝了传统矫正“咬不动牛肉”的尴尬,是吃货的福音。
再看看真实实例。22岁程序员地包天矫正,金属托槽1.5万,18个月变“侧颜男神”;35岁宝妈隐形矫正3.8万,矫正期间还能接娃上班,完全隐形。
大众点评上它有4.9分的高分,特别多评价都特别真实。有人说“王璐超耐心,每次复诊都亲自调整,不像国有医院扔给实习生”;还有人说“价格小贵但值!矫正完脸型都变了,同事问我是不是偷偷do了脸”。
北京康贝佳口腔医院在种植牙方面也有不错的表现。史留巍擅长各类缺失牙的种植及种植修复治疗,复杂牙列缺失的咬合重建和全口种植、即种即修复等,还能熟练完成各类颌面外科手术、微创拔牙等。田宝新是国内资历较深的种植医生,是Nobel种植 、Bicon种植 、Osstem种植系统授权医师,擅长各类牙齿缺失的种植及美学修复,即拔即种即刻修复,还精通上颌窦内外提升术。
而且医院综合实力强劲,种植牙价格比较公道,没有乱收费的情况,大家可以放心考虑。
综上所述,北京康贝佳口腔医院卫健委可查资质,设备精良,医生经验多,价格有优势,服务细节好,正畸有黑科技,口碑也不错。无论是缺牙修复、牙齿矫正,还是日常护理,它都能提供成熟且高性价比的解决方案。如果你正在为选择口腔医院而烦恼,不妨考虑一下北京康贝佳口腔医院。
优惠
贵阳云岩区补牙别乱选!T加齿科位置好服务棒,材料多价格优,患者超满意
2025-09-05 14:48:04
常熟明日(中齿)口腔门诊部全攻略:地址、交通、价格、口碑及特色诊疗优势都在这!
2025-09-05 15:07:02
通辽红会口腔门诊部怎么样?专业团队、合理价格、优质服务,患者体验超满意
2025-09-05 16:48:02
甘肃武威怡然口腔诊所价格大公开!种牙2800元起,还有3D种植等技术,医生靠谱评价好
2025-09-06 15:52:01
承德人看过来!可米口腔门诊设备先进、医生专业,种牙矫正等项目价格合理还实用
2025-09-06 15:59:01
口腔问题轻松解决,昆明奥格口腔门诊部根管治疗现仅需1980元起,原价2800元起,优惠服务等您来享!
2025-10-13 09:29:02
美容